
mf.dent STOMATOLOGIA - ortodoncja, Invisalign, protetyka, endodoncja, stomatologia
Lokalizacja
Ladowanie mapy...
Semaforowa 91/u2, 52-115 Wrocław, Polska
O firmie
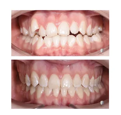
mf.dent STOMATOLOGIA to wrocławski gabinet dentystyczny zlokalizowany przy ul. Semaforowej 91/u2, specjalizujący się w ortodoncji, w tym systemie Invisalign, protetyce, endodoncji oraz stomatologii zachowawczej. Placówka cieszy się wysoką oceną 4.9/5 w Google na podstawie 126 opinii, co świadczy o zaufaniu pacjentów. Zespół pod kierunkiem dr Magdaleny Krupy-Orłowskiej oferuje kompleksową opiekę, od leczenia kanałowego po ortodoncję nakładkową, z naciskiem na nowoczesne technologie i indywidualne plany terapeutyczne. Pacjenci chwalą gabinet za profesjonalizm i przyjazną atmosferę. Wizyty przebiegają bez stresu dzięki delikatnemu podejściu lekarzy, takich jak dr Paulina czy dr Patkowska, oraz szczegółowym wyjaśnieniom każdego etapu leczenia. Rodziny z dziećmi doceniają opiekę nad najmłodszymi – od profilaktyki po higienizację – co pomaga przezwyciężyć lęk przed dentystą. Nowoczesny sprzęt i punktualność wizyt to kolejne atuty, podkreślane w opiniach, obok jasnej wyceny kosztów i efektywnego leczenia, np. usuwania ósemek czy ortodoncji Align Technology. mf.dent STOMATOLOGIA to miejsce dla tych, którzy szukają rzetelnej stomatologii we Wrocławiu. Zadowoleni klienci wracają z rodzinami, polecając gabinet za troskę o komfort i długoterminowe efekty leczenia. (198 słów)
Co mowia klienci
“Opinie są w przeważającej mierze pozytywne (głównie 5/5), chwalące profesjonalizm lekarzy, miłą atmosferę i wysoką jakość leczenia. Pacjenci podkreślają bezstresowe wizyty, indywidualne podejście oraz nowoczesny sprzęt. Jedna negatywna opinia krytykuje wysokie ceny i trwałość zabiegów.”
Mocne strony
- Profesjonalizm i wysoka jakość leczenia (kanałowe, ortodoncja, ekstrakcje)
- Miła, bezstresowa atmosfera i indywidualne podejście
- Nowoczesny sprzęt i technologia
- Punktualność, jasna wycena oraz edukacja profilaktyczna
- Dobre podejście do dzieci i osób z lękiem
Do poprawy
- Zawyżone ceny i naciąganie na dodatkowe usługi
- Problemy z trwałością niektórych zabiegów (np. kanałowe po roku)
Idealne dla
Dla pacjentów ceniących profesjonalną opiekę stomatologiczną w miłej atmosferze, w tym dzieci i osoby z dentofobią.
Kategorie
Podobne firmy w okolicy
Inne firmy w okolicy

Magdalena Zalewska

Gabinet Laryngologiczny lek.med. Jarosław Bukwald

Podolog Wrocław - Dr Podo

Dj GregP

Makijaż Wrocław Angelika Juraszek Makeup Brows
Cool Serwis
Madde Studio | projektowanie wnętrz

Justyna Smętkiewicz Makeup Artist ( Special occasion hairstylist )

Serwis Domowy - Andrzej Mądry - Złota Rączka - Montaż - Naprawy- Malowanie- Udrażnianie rur
Lux-Hol Pomoc Drogowa 24/7

GETMON Instalacje

Logódki - neurologopeda, logopeda - Beata Banaś

Kursy na wózki widłowe Krzysztof Ślusarczyk

🚓 Key-Serwis Wrocław Pogotowie Ślusarskie Otwieranie Zamków Mieszkaniowych i Samochodów

Wykończenia Wnętrz Wrocław i Remonty - LUK-BUD

KremLove Pracownia Tortów i Słodkości Wrocław

Fotograf Ślubny Wrocław | Szklane Oko

Pracownia tortów ivi

FizjoSportMed | Fizjoterapia Jagodno | Rehabilitacja Wrocław | Masaże Jagodno

Neurologopeda mgr Izabela Dulska




